Gentle Dental in Queens Dental Clinic in Bayside, United States
Top Specialities:
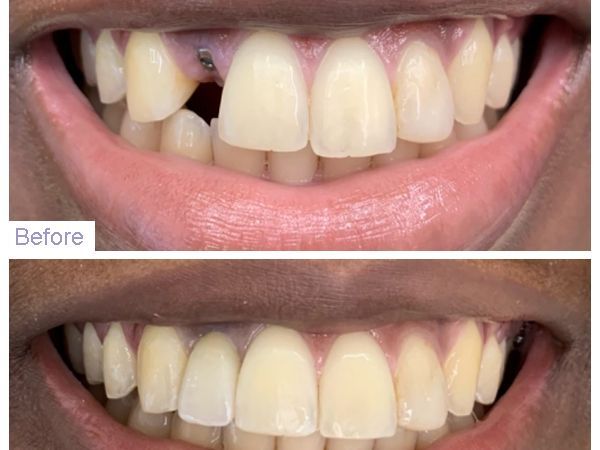
Description
Settle into the soothing atmosphere at Gentle Dental.
When you`re a patient of Gentle Dental, an appointment with us is an escape from the pressure and stress of your daily life. You`ll feel relaxed and be treated with the attention and compassion you deserve. Our beautifully appointed office has an extensive range of amenities, and a warm, friendly staff who provide dental care with a chair-side manner that is simply unsurpassed.
Gentle Dental offers the most advanced technology in modern dentistry.
The foundation of our practice is our staff, who hold themselves to the highest standards of professionalism and courtesy, and who will make you feel like part of our extended family. As professionals, we are committed to staying abreast of the latest methods, techniques and technological advancements in dentistry. And we`ll always ensure that we explain any of our procedures, no matter how complex, so you have a clear understanding. We always want you to have the knowledge you need to make informed, confident decisions about any aspect of your oral health.
Your Initial Visit
Cosmetic, General, or Restorative Dentistry?
Like our staff, our office is also warm and inviting. Indeed, we distinguish our practice by rejecting the cold, clinical atmosphere of the traditional dental office in favor of a sophisticated, modern and comfortable setting.
We also respect your time, and we`ll make sure you are seen promptly. If you arrive early, rest easy. Our office is a perfect spot to take a moment to yourself. There`s a selection of reading material, free Wi-Fi, and if you`d like a cup of tea while you wait, let us know and we`ll happily brew one for you. The calming atmosphere has been designed to make your time in our care an escape from the stresses of your daily life.
While our office has been appointed with the comfort of our patients in mind, it also features some of the most advanced diagnostic equipment available in general and restorative dentistry today. From digital, low-radiation x-rays to laser dentistry, Gentle Dental offers the most advanced technology in modern dentistry.
Contact Gentle Dental in Queens today to receive more information or to schedule an appointment by calling our office number (718) 461-0100.
Gentle Dental in Queens
35-30 Francis Lewis Blvd,
Bayside, NY 11358
(718) 461-0100
(718) 970-7304
Web Address:
https://www.queenssmile.com
https://queenssmile.business.site/
Our location on the map: https://goo.gl/maps/8gvPR13tEZWAedBw5
https://plus.codes/87G8Q676+FV Bayside
Nearby Locations:
Bayside | Auburndale | Broadway - Flushing | Clearview | Bay Terrace
11360, 11361, 11364 | 11358 | 11354 | 11359
Working Hours :
Monday: 9AM-7PM
Tuesday: 9AM-7PM
Wednesday: 9AM-7PM
Thursday: 9AM-7PM
Friday: 9AM-7PM
Saturday: 9AM-4PM
Sunday: Closed
Payment: cash, check, credit cards.
Our Services
Our Partners
Medical Tourism Insurance Companies:
Medical Tourism Travel Agencies:
Packages, Promos & Coupons
Official URL
Our Websites


Reviews for Gentle Dental in Queens
The staff was amazing, very knowledgeable and professional Felt a very comfortable and relaxed, pleasant environment. Highly recommend.