Family Cosmetic & Implant Dentistry of Brooklyn Dental Clinic in Brooklyn, United States
Top Specialities:
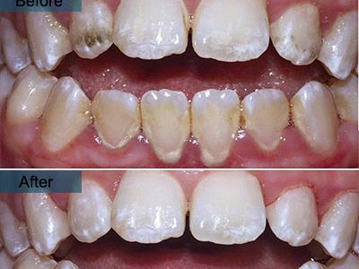
Description
The Best Dentist in Brooklyn
Considered as one of the finest dentist available in Brooklyn - and honored as the top New York dentist of 2017 - Family Cosmetic & Implant Dentistry of Brooklyn offers all the most popular dental procedures, from teeth whitening and cleaning to the treatment of complicated issues that require surgery. Both dentists are highly trained and experienced in cosmetic dentistry, as well as general family dentistry. Whatever your dental needs are, they can help.
If you’re looking for a cosmetic or family dentist in Brooklyn, who will be capable of treating most dental conditions, look no further. Whether you need cosmetic dentistry, orthodontics or periodontics, the father-and-son, board certified dentists at Family Cosmetic & Implant Dentistry of Brooklyn, will ensure you are confident and comfortable while they treat your oral health and preserve your beautiful smile. Not only can you trust them with your teeth, but your children’s teeth as well.
Cosmetic, Family & General Procedures
Dr. Alex Khabensky, DDS, and Dr. Igor Khabensky, DDS, are general dentists who also specialize in cosmetic procedures such as veneers, dental implants, and dental crowns just to name a few. Regardless of what procedure you may require, we can do it all. Your oral health is our biggest priority. Which means that before starting any cosmetic procedures, we will first examine your dental health, to lay a stronger foundation for a beautiful smile.
Cutting Edge Cosmetic Dental Clinic in Brooklyn
Our Brooklyn, dental clinic is equipped with the most state of the art, advanced equipment available anywhere. We have the latest lasers and high precision microscopes. Implant dentists Alexander and Igor Khabensky DDS always use only top quality medical grade titanium or titanium alloy for all our dental implants. We have established relations with the best dental laboratories available in Brooklyn, which enable us to give you the most accurate and natural looking results. Get your dental implant treatments from us, the best implant dentist in Brooklyn.
Only board certified and highly trained cosmetic dentist like Alexander or Igor Khabensky DDS can determine an accurate diagnosis and administer the proper dental treatment needed. For more information about the dental services offered at Family Cosmetic & Implant Dentistry of Brooklyn or to schedule a consultation with the top rated dentists, please contact our Brooklyn NY office. For more information about the Family Cosmetic & Implant Dentistry of Brooklyn, please contact our office by number (718) 339-8852
Family Cosmetic & Implant Dentistry of Brooklyn
2148 Ocean Ave, Ste 401,
Brooklyn, NY 11229
(718) 339-8852
Web Address: https://www.dentistinbrooklyn.com
https://dentistinbrooklyn.business.site
Our location on the maps: https://goo.gl/maps/ryGk7UuvoUBX4xX77
https://plus.codes/87G8J25V+C8 Brooklyn
Nearby Locations:
Midwood | Marine Park | Madison | Homecrest | Mapleton
11230 | 11234 | 11229 | 11204
Working Hours:
Monday: CLOSED
Tuesday: 10:00 am - 7:00 pm
Wednesday: 10:00 am - 7:00 pm
Thursday: 10:00 am - 7:00 pm
Friday: 10:00 am - 7:00 pm
Saturday: 9:00 am - 5:00 pm
Sunday: CLOSED
Payment: cash, check, credit cards.
Our Services
Our Partners
Medical Tourism Insurance Companies:
Medical Tourism Travel Agencies:
Packages, Promos & Coupons
Official URL
Our Websites
Spoken Languages


Reviews for Family Cosmetic & Implant Dentistry of Brooklyn
AMAZING PLACE!! Very friendly and professional staff. Quick, clean and efficient. Very comfortable office. Positive atmosphere. I highly recommend Family Cosmetic & Implant Dentistry of Brooklyn!